【资源】这份肝脏解剖图解,不收藏就亏了!

muzicong

关注站内信

1 楼

一、基础知识

Couinaud分段法将肝脏分为8段,段的编号依据顺时针进行,门静脉分支分布于肝段内,而肝静脉位于肝段间,每段功能上是独立的,有独立的血液、胆汁引流道。每段的中心是门静脉、肝动脉和胆管,周围是血液流出的肝静脉。

尾状叶为Ⅰ段

左外上、下叶为Ⅱ、Ⅲ段

左内叶为Ⅳ段(Bismuth分类法,第4段又分为4a和4b段)

右前叶上、下为Ⅴ、Ⅷ段

右后叶上、下为Ⅵ、Ⅶ段

http://webres.medlive.cn/upload/000/516/228

 

门静脉将肝分为上、下部分,门静脉左右支发出上、下分支分别进入每段的中心。

肝中静脉:将肝脏分为左叶和右叶。

肝左静脉:将肝左叶分为内侧段(II、III)和外侧段(IV)。

肝右静脉:将肝脏分为右前段(V、VIII)和右后段(VI、VII)。

各段按顺时针方向排列,I段(尾状叶)在后方。

http://webres.medlive.cn/upload/000/516/229

 

上方的图为肝分段示意图,下图为实际正面观察,后方的VI段和VII段被遮挡。Cantlies线是指胆囊窝前方中点与下腔静脉的连线,将肝脏分为左半肝和右半肝。右半肝可见VVIII段,IV段更靠近右侧,尽管它属于左半肝。

http://webres.medlive.cn/upload/000/516/231

 

二、横断面解剖图示

(1)肝上部水平:由肝中静脉、肝右静脉、镰状韧带分段。

http://webres.medlive.cn/upload/000/516/232

 

(2)门静脉左支水平:门静脉左支将肝分为上下部分,上方II和Iva,下方III和IVb。门静脉左支比右支位置高。

http://webres.medlive.cn/upload/000/516/233

 

   (3)门静脉右支水平:该水平门静脉右支将肝右叶分为上部(VII和VIII)和下部(V和VI)。

http://webres.medlive.cn/upload/000/516/235

 

(4)脾静脉水平:脾静脉较门静脉右支低。可见III、IVb、V、VI段。

http://webres.medlive.cn/upload/000/516/236

 

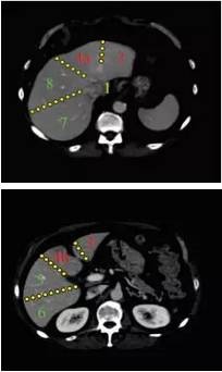
CT轴位分段

肝左右叶(IV段与V、VIII段)分界:沿胆囊窝上方肝中静脉至下腔静脉(下图红线)。

肝左叶(内侧II、III段与外侧IV段)分界:沿镰状韧带和肝左静脉、肝中静脉汇合处下腔静脉连线(下图蓝线)。

肝右叶(前侧V/VIII段与后侧VI/VII段)分界:沿下腔静脉下方肝右静脉至肝脏边缘(下图绿线)。

http://webres.medlive.cn/upload/000/516/237

 

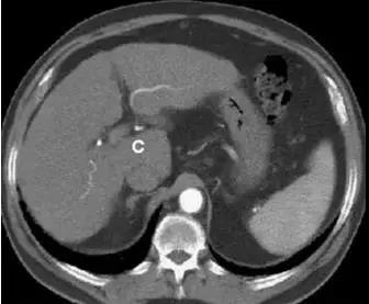
尾状叶:尾状叶(I段)在后方,尾状叶与其他叶不同的是,它经常经静脉直接与下腔静脉,而不通过肝静脉主干,也有可能同时接受门静脉左右支的血供。(下图C)

http://webres.medlive.cn/upload/000/516/238

 

简单记忆方法:

上:7 8 4 2

下:6 5 4 3

http://webres.medlive.cn/upload/000/516/239

 

MR T1及增强扫描动脉期图像:

http://webres.medlive.cn/upload/000/516/240

http://webres.medlive.cn/upload/000/516/241

 

三、肝脏手术:

http://webres.medlive.cn/upload/000/516/242


9
2018-05-10 18:51 回复

回忆记忆AoX

关注站内信

3 楼

????????????

徐静徐静

关注站内信

5 楼

感谢分享,很实用

小王兰子

关注站内信

7 楼

很实用,谢谢

凤天小仙女

关注站内信

8 楼

好东西值得收藏分享

回复话题