医脉通首页
软件中心
频道导航
资讯
病例
专题
圈子
指南
期刊文献
诊疗知识库
e信使
e讲堂
e调研
会议
医生工具
互助区
登录
注册
精神科
精华
病例
经验
资源
多媒体
我的圈子
<< 返回心血管
读片会病例报告
寒冰
关注
站内信
1 楼
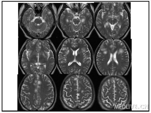
男性,31岁,头痛1月,反应迟钝、精神异常半月入院。
好
分享到:
2011-09-20 19:36
回复
回复话题
该圈子需要登录才能发表回复!
现在登录
您要举报的内容为
举报理由:
广告软文
内容质量差
低俗色情
抄袭或未经授权转载
其他
0/100
取消
确认举报
关于我们
|
联系我们
|
隐私政策
|
版权声明
|
免责声明
|
公司产品
|
诚聘英才
|
网站帮助
(京)网药械信息备字(2022)第00008号
京公网安备
11010502036930
京ICP备
13043379号-5
京ICP证
130463号
©
2005-2026 medlive.cn, all rights reserved