《精神分裂症》上线啦

陈蓉

关注站内信

1 楼
2011-11-02 16:01 回复

陈蓉

关注站内信

2 楼

精神分裂症——一些你可能知道或不知道的

Schizophrenia  is a mental disorder characterized by a disintegration of thought processes and of emotional responsiveness.(wikipedia)

http://webres.medlive.cn/upload/000/053/139

 

在Glore精神科博物馆一个精神分裂症患者做的一块布

(大家能看出什么吗?)

 

http://webres.medlive.cn/upload/000/053/153  Eugen Bleuler

瑞士精神病学家(1911)对本病进行了细致的临床学研究后指出,情感、联想和意志障碍是本病的原发症状,而中心问题是人格的分裂,首次提出了“精神分裂症(splitting of the mind)这个概念。

 

http://webres.medlive.cn/upload/000/053/155 John Forbes Nash Jr

一位患有精神分裂症但却在博弈论和微分几何学领域潜心研究以致获得诺贝尔经济学奖的数学家。

看过美丽心灵(A beautiful mind)这部电影的人应该对他不会陌生了,这部电影就是根据他的同名传纪改编的。

http://webres.medlive.cn/upload/000/053/167A beautiful mind

 

 

 

 

 

 

陈蓉

关注站内信

3 楼

精神分裂症的一些图片

http://webres.medlive.cn/upload/000/053/169

 

http://webres.medlive.cn/upload/000/053/170

 

http://webres.medlive.cn/upload/000/053/172

 

http://webres.medlive.cn/upload/000/053/174

 

http://webres.medlive.cn/upload/000/053/177

 

http://webres.medlive.cn/upload/000/053/178

 

http://webres.medlive.cn/upload/000/053/179

 

 

陈蓉

关注站内信

4 楼

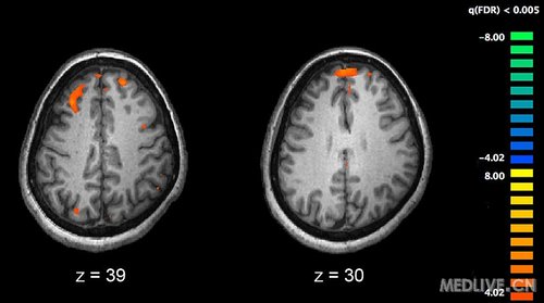
http://webres.medlive.cn/upload/000/053/180

 

Image showing brain areas more active in controls than in schizophrenia patients during a working memory task during a fMRI study. Two brain slices are shown.

回复话题