【病例】食管癌术后奇怪的胸腔影像学变化

80后

关注站内信

1 楼

患者男性 60岁 主因进食梗咽感3个月于11-9-29入院,胃镜距门齿34厘米病变 长约1.5厘米 入院后积极术前准备,于10-3日在全麻下行食管癌切除术,术中见癌肿情况尚好与周围无明显浸润,术程顺利。

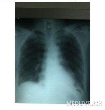
术后第1天 闭式引流约300ML 为淡血性 第2天 200ml 第三天 100ml 第4天50ml 第五天30ml 拍床头片如下:

             http://webres.medlive.cn/upload/000/054/362

拔管后第二天 患者于变动体位后出现左侧胸痛,伴气促,急查心电图无异常,D 2聚体0.7mg/l,双侧呼吸音尚清晰,无干湿啰音,内科会诊考虑肺栓塞不除外,建议给予抗凝治疗,拔管后第三天 仍诉气促及胸痛不缓解,听诊左肺呼吸音消失。急查胸片:

http://webres.medlive.cn/upload/000/054/364

于局麻下胸穿 为血性液体60ML b超定位 肩胛下传出黄色液体15ml 无异味 。于原闭式引流位置再次置管。

当日CT:

http://webres.medlive.cn/upload/000/054/366

 

大家谈谈高见

2011-11-09 17:15 回复

cxllj

关注站内信

残雪夕阳

关注站内信

3 楼

如果是胸内吻合,应该首先考虑吻合口瘘,但不能排除胸胃穿孔的可能;如果是颈部吻合,仔细看一下颈部切口的情况,有没有皮下气肿,颈部吻合口瘘部分患者可以漏进胸腔;可以让患者喝口美兰,以便确诊或排除。治疗四大原则:1.禁食,胃肠减压;2.通畅的胸腔闭式引流;3.有效的抗生素;4.营养支持。

kmtkmt

关注站内信

4 楼

吻合口漏!处理好及时引流通畅低于50%死亡率。柯孟陶

wxshao11

关注站内信

5 楼

 请提供下手术方式以及纵膈窗影像 ! 考虑为吻合口喽!

johnfengliang

关注站内信

6 楼

可以口服造影剂后查CT,或查食管造影。

可能是吻合口漏、胸腔胃穿孔不能除外

回复话题