【病例】CTSNet读片:侵袭胸椎和肋骨的大神经节瘤

裙子

关注站内信

1 楼

TitleBig, hypervascular paraspinal ganglioma, eroding thoracic vertebrae and ribs

大的富含血管的脊椎旁神经节瘤,侵袭胸椎和肋骨

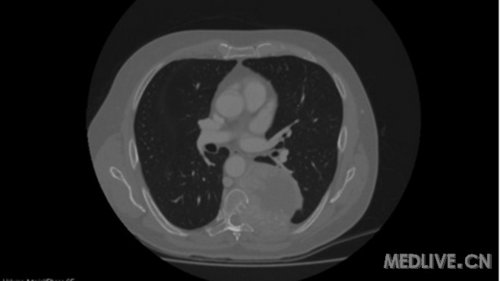
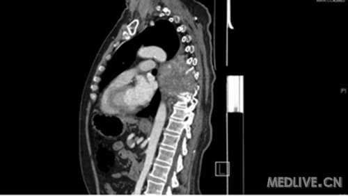
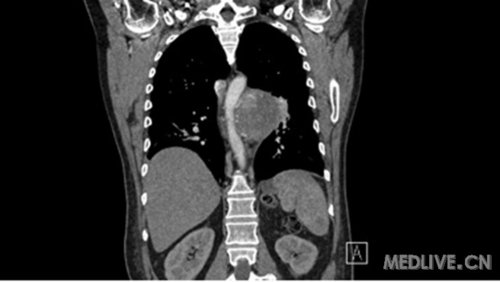
Description: CT scan image of a huge paraspinal ganglioma extending from T4 to T9 and eroding T7 and T8 vertebrae and ribs, in close proximity to aorta and left main bronchus but not invading them.This paraganglioma was found to be hypervascular on spinal angiography.

CT扫描图像,一个巨大的脊椎旁神经节瘤,从T4到T8脊椎,侵袭了T7、T8脊椎和肋骨,非常接近主动脉和左主支气管但并未侵犯,脊髓血管造影发现这个神经节瘤富含血管。

 

1. Paraspinal ganglioma, axial CT scan

     脊椎旁神经节瘤 CT轴位扫描

http://webres.medlive.cn/upload/000/056/918

 

 2. Paraspinal ganglioma, Coronal CT scan

          脊椎旁神经节瘤 CT冠状位扫描

http://webres.medlive.cn/upload/000/056/919

 

      3. Paraspinal ganglioma, Sagital CT scan

          脊椎旁神经节瘤 CT矢状面扫描

http://webres.medlive.cn/upload/000/056/920

 

2011-11-24 16:33 回复

梅竺

关注站内信

2 楼

CTSNet上的,是楼主翻译的吗?

学习了

回复话题