【病例】回顾几个以三尖瓣关闭不全为主的心脏瓣膜病

liming2003

关注站内信

1 楼

回顾几个我碰到的以三尖瓣关闭不全为主的心脏瓣膜病例,大家一起学习!

 

这是最近的一个病例,边说边复习一下基础知识

三尖瓣关闭不全的病因

1.  慢性风湿性心脏病,在风湿性的二尖瓣病变中,常合并功能性三尖瓣关闭不全,器质性三尖瓣关闭不全常见风湿性三尖瓣的反复发作;

2.  右心心内膜炎常可致三尖瓣损毁,产生急性三尖瓣关闭不全;

3.  三尖瓣的创伤、右心室心肌梗死也可产生急性三尖瓣关闭不全;

4.  先天性发育异常,心内膜垫缺损、三尖瓣粘液样变、类癌、心内膜纤维化均可引起器质性三尖瓣关闭不全。

http://webres.medlive.cn/upload/000/060/738

 

三尖瓣成形术包括:

1.  二瓣叶化成形术

2.  DeVega成形术

3.  阶段性DeVega成形术

4.  Carppentier环缩术

5.  Minale瓣环成形术

6.  三尖瓣瓣环成形术

心电图表现

http://webres.medlive.cn/upload/000/060/739

 

三尖瓣病变无论是功能性还是器质性,绝大多数都可以用三尖瓣成形的术式,取得满意的疗效。只有瓣膜不能修复时才考虑三尖瓣置换,当前大多均选用中心血流的双叶机械瓣。它既可耐久,又可避免生物瓣易于衰败的缺点。

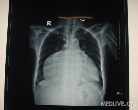
胸片表现

http://webres.medlive.cn/upload/000/060/740

 

三尖瓣关闭不全的手术指征

1.  存在严重症状,包括周围水肿、颈静脉怒张、肝肿大等,或左心瓣膜手术时同时合并肺血管阻力增大和中重度的功能性三尖瓣关闭不全;

2.  任何器质性三尖瓣关闭不全,右心室容量超负荷、右心衰竭;

3.  右心心内膜炎伴严重三尖瓣关闭不全,持续性败血症、脓毒血症;

4.  复发性人工瓣膜性心内膜炎

 

患者一周后进行了三尖瓣置换手术治疗。

术后当天胸片提示:心影明显变小。

http://webres.medlive.cn/upload/000/060/746

 

术后第2天,胸片提示心影较术后当天明显增大。

三尖瓣置换与二尖瓣置换术后监护明显不同,二尖瓣置换术后血压低多为左心功能不全,通过调节血管活性药物比较有效;但三尖瓣置换术后,血压低多为容量不足,增加血管活性药物效果多不明显,补充容量多有效。

这个患者就是补充了很多容量,血压才比较平稳的,因此心影增大。

http://webres.medlive.cn/upload/000/060/747

 

2011-12-14 17:03 回复

liming2003

关注站内信

2 楼

 

再和大家分享一些几年前的手术图片。

病例1

心超如下:

http://webres.medlive.cn/upload/000/060/750

 

 

开胸后见心脏明显增大

http://webres.medlive.cn/upload/000/060/751

 

 

因这个患者三尖瓣存在明显器质性病变,遂采取了三尖瓣置换术。

切除三尖瓣瓣膜后,预置缝线

http://webres.medlive.cn/upload/000/060/752

 

 

这例患者选择了牛心包生物瓣膜,现门诊随访效果良好。

下瓣

http://webres.medlive.cn/upload/000/060/753

 

liming2003

关注站内信

3 楼

病例2

这是一个三尖瓣、二尖瓣联合心脏瓣膜病患者

http://webres.medlive.cn/upload/000/060/754

 

 

开胸后满视野都是右房

http://webres.medlive.cn/upload/000/060/755

 

 

首先置换二尖瓣

http://webres.medlive.cn/upload/000/060/757

 

 

然后置换三尖瓣

http://webres.medlive.cn/upload/000/060/756

 

liming2003

关注站内信

4 楼

 

请大家多发表意见,有交流才能互相进步!

 

已锁定

关注站内信

5 楼

谢谢楼主分享,很好的病例!

千百万

关注站内信

6 楼

我们也做过一个类似的病例,三尖瓣重度关闭不全,病史14年,加重2年。

手术采用胸部正中切口,见右房巨大。

http://webres.medlive.cn/upload/000/063/157

 

 

切开右心房,探查三尖瓣后,决定置换31#牛心包瓣膜。

可见右心房壁薄如纸。

http://webres.medlive.cn/upload/000/063/158

 

 

千百万

关注站内信

7 楼

患者右心衰病史长,长期营养不良,凝血功能差,且右心房薄如纸,术后易出血。

因患者右心房径达100mm以上,我原本考虑部分切除右心房壁,以起到右心房减容的目的。可以我们主任不是这样做的。他未切除右房壁,而是折叠缝合,这样缝合缘处组织较厚,易于止血。实际上也起到了这样的效果。值得借鉴学习。

http://webres.medlive.cn/upload/000/063/159

 

 

医心补心

关注站内信

8 楼

好病例,学习了!

楼上两位老师的病例都是瓣膜置换术,现在瓣膜成形是不是做得少了,好像很多病人有这种想法,认为置换可能就不会再次手术了

sunguoyi

关注站内信

9 楼

三尖瓣置换很少啊,成形的比较多

右方100mm可真不小啊,术后患者恢复怎样啊,还有大量补液患者心功能能受得了吗

2012-03-25 17:08 回复
回复话题