各种肾脏病病理图片

王振超

关注站内信

1 楼
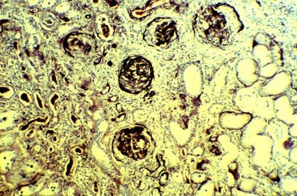
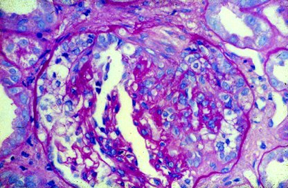
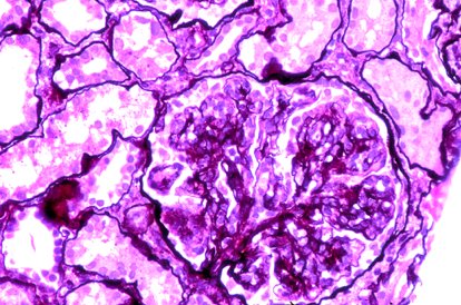
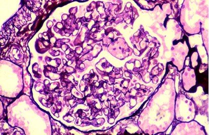
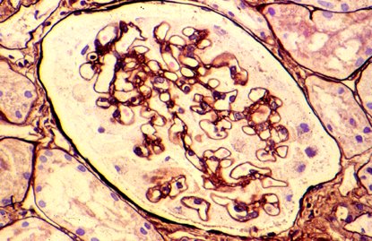
紫癜性肾炎病理图片

紫癜性肾炎(局灶)

http://webres.medlive.cn/upload/000/060/759

 

紫癜性肾炎(毛细血管内增生)

 http://webres.medlive.cn/upload/000/060/760

 

紫癜性肾炎(膜增生)

http://webres.medlive.cn/upload/000/060/761

 

 

紫癜性肾炎(轻微病变)

http://webres.medlive.cn/upload/000/060/762

 

紫癜性肾炎(系膜增生)

http://webres.medlive.cn/upload/000/060/763

 

紫癜性肾炎(新月体)

http://webres.medlive.cn/upload/000/060/764

 

15
2011-12-14 17:26 回复

王振超

关注站内信

2 楼

木有人顶啊

4

王振超

关注站内信

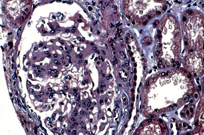
3 楼

狼疮性肾炎病理图片

I-型狼疮

 http://webres.medlive.cn/upload/000/060/881

 

II-型狼疮

 

III-型狼疮

 

IV-型狼疮(新月体)

 

IV-型狼疮(膜增生)

 

IV-型狼疮(毛细血管内增生)

 

V-型狼疮(膜性)

 

VI-型狼疮(硬化)

http://webres.medlive.cn/upload/000/060/880

 

5

王振超

关注站内信

4 楼
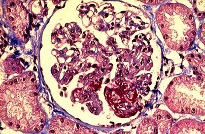
活动性狼疮性肾炎病理图片

活动性狼疮性肾炎(毛细血管攀纤维素样坏死)

 

活动性狼疮性肾炎(微血栓形成)

 

活动性狼疮性肾炎(纤维素样坏死性小动脉炎)

 

活动性狼疮性肾炎(新月体形成)

 

活动性狼疮性肾炎(中性粒细胞浸润)

 

活动性狼疮性肾炎(白金耳样结构)6

 

活动性狼疮性肾炎(白金耳样结构形成)

 

活动性狼疮性肾炎(高度系膜细胞增生)

 

活动性狼疮(小动脉壁纤维素样坏死)

 

活动性狼疮(间质炎症细胞浸润)

 

活动性狼疮(大块电子致密物)

 

活动性狼疮性肾炎(血管病变)

 

活动性狼疮性肾炎(苏木素小体形成)

 

活动性狼疮性肾炎(苏木素小体形成)

 

活动性狼疮性肾炎(肾小球内微血栓形成)

6

王振超

关注站内信

5 楼
淀粉样变性病理图片

淀粉样变性(刚果红染色)1

 

 

 淀粉样变性(刚果红染色)2

 

 

 淀粉样变性(巨舌症)

 

淀粉样变性(系膜区淀粉样纤维)

 

淀粉样变性(淀粉样蛋白沉积于肾间质)

 

6

zlb31928856

关注站内信

6 楼

学习了,太好了,支持一下,继续学习中

王振超

关注站内信

7 楼

回复 6楼:

好吧,我接着发。本来以为没人感兴趣都不想再弄了。像你这种看帖回帖的人真是太少了。

2

王振超

关注站内信

8 楼
急性肾损伤相关病理图片

急性肾小管坏死1

 

急性肾小管坏死2

 

急性肾盂肾炎1

 

急性肾盂肾炎2

 

急性过敏性间质性肾炎

3

wufangfang

关注站内信

9 楼

人工置顶。。

王振超

关注站内信

10 楼

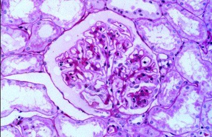
局灶阶段性肾炎病理图片

图片:3.jpg
大小:68.0K  [下载图片]  [查看原图]  
图片:4.jpg
大小:59.2K  [下载图片]  [查看原图]  
图片:5.jpg
大小:75.3K  [下载图片]  [查看原图]  
图片:6.jpg
大小:83.3K  [下载图片]  [查看原图]  
图片:7.jpg
大小:64.6K  [下载图片]  [查看原图]  
2

hdy331

关注站内信

11 楼

顶楼主!!!

王振超

关注站内信

12 楼

慢性肾盂肾炎病理图片

 

图片:慢性肾盂肾炎1.jpg
大小:62.6K  [下载图片]  [查看原图]  
图片:慢性肾盂肾炎2.jpg
大小:25.6K  [下载图片]  [查看原图]  
2

王振超

关注站内信

14 楼

膜性肾病(IgG)-1

 

膜性肾病-2

 

膜性肾病(II期)-3

膜性肾病(II期)-4

膜性肾病(II期)-5

 膜性肾炎银染-6

 

膜性肾病(III期)-7

 

 膜性肾病(III期)-8

 

  膜性肾病(模式图)-9

 

 膜性肾炎的电镜图10

2

王振超

关注站内信

回复话题
共 5 页 62 条