#新医讯平台#肺部真菌感染影像学表现(2):晕征

4970269

关注站内信

1 楼

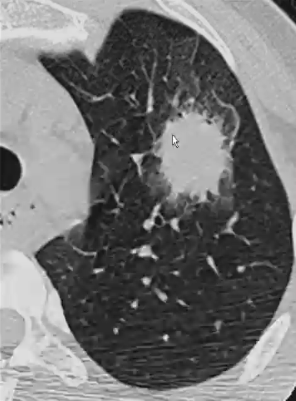
晕征(halo sign,HS)

❖ 定义:实性结节(梗死)周围可见磨玻璃影(出血)环绕

❖ 血液系统恶性肿瘤及肝移植者中真菌感染常见

❖ 无特异性:可见于曲霉菌病、毛霉菌病、念珠菌病等及Wegener肉芽肿,kaposi肉瘤及出血性转移等

❖ HS:侵袭性真菌感染患者首次CT检查2/3患者阳性

❖ 随机对照试验中,HS出现与抗感染治疗有效和生存率提高相关

❖ 血液肿瘤患者例行CT扫描代替发热时扫描可将HS的检出率提高到92%,缩短启动抗真菌感染时间

来源:《肺部真菌感染的影像学诊断》

声明:仅供医学药学专业人士阅读,不构成实际治疗建议

11小时前 回复
回复话题