肺部真菌感染的影像学诊断:RHS在OP和真菌感染中的鉴别、低密度征

4970269

关注站内信

1 楼

RHS在OP和真菌感染中的鉴别

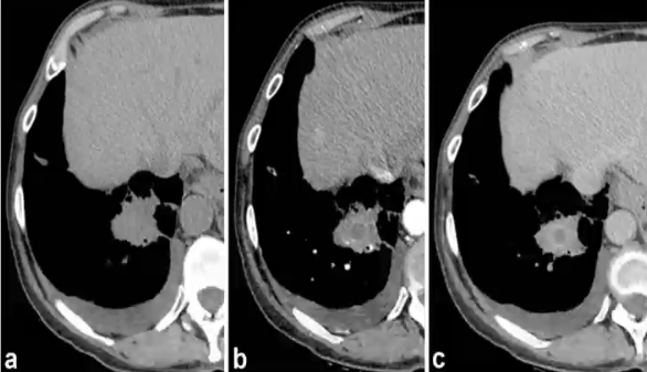
低密度征(hypodense sign,HyS)

❖ 定义:实变或结节中心低密度影-中心坏死

❖ 病理基础:血管阻塞致肺梗死和隔离

❖ 平扫检出低,增强检出高

❖ 在高度怀疑真菌感染的粒缺患者中,HyS特异性高,但敏感性较差

❖ HyS有助于鉴别细菌真菌感染,早期启动抗真菌治疗

来源:《肺部真菌感染的影像学诊断》

声明:仅供医学药学专业人士阅读,不构成实际治疗建议

2026-01-27 10:45 回复
回复话题