[病历讨论]有精神症状的病人

weipeng

关注站内信

1 楼

发一个病例请大家讨讨论。
病人男性 73岁 市民 以“幻听、幻视两天,言语含糊、精神错乱一天”入院。
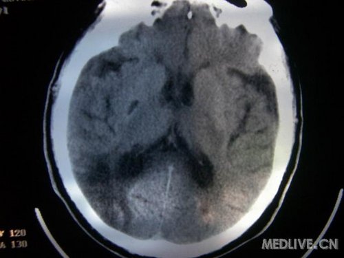
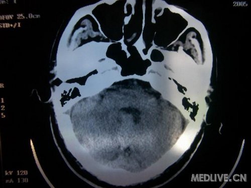
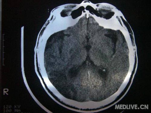
两天前无诱因出现幻听、幻视,描素眼前有彩色的圆圈,听见有人说话(但说什么不详),一天前出现胡言乱语,言语含糊,精神错乱,问话不答,行走略有不稳,来我院就诊,门诊头CT检查:(下面有片)入院后查体不合作,表情淡漠,问话不答,大致检查了一下,颅神经未见明显异常,颈软,右手活动似忽略差。其他检查不配合。脑电图:广泛轻-中度异常。
既往史:半年前曾患“右侧脑梗塞”但无明显后遗症,生活能自理,无高血压、糖尿病、心脏病史。
入院后,常规按脑梗塞治疗,病人不吃药,不输液,劝阻不住,有时打人,给于氯丙嗪25MG肌注,每日2次,症状有改善,近一两天,病人呈木僵状态,不说、不吃、不喝,液体可以进去。请各位战友分析一下:
1,病人是脑梗塞的症状吗?有否精神分裂症的可能,精神症状怎么控制?
2,是否炎性疾病吗?
3,血管性痴呆的可能性有吗?
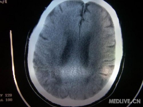
先传半年前的片子: 

http://webres.medlive.cn/upload/000/013/778

http://webres.medlive.cn/upload/000/013/779

 

http://webres.medlive.cn/upload/000/013/780

 

http://webres.medlive.cn/upload/000/013/781

 

http://webres.medlive.cn/upload/000/013/782

 

http://webres.medlive.cn/upload/000/013/783

 

http://webres.medlive.cn/upload/000/013/784

 

转自  zwd68

 

2011-05-08 13:13 回复

weipeng

关注站内信

2 楼

此次入院时的片子:

http://webres.medlive.cn/upload/000/013/786

 

http://webres.medlive.cn/upload/000/013/787

 

http://webres.medlive.cn/upload/000/013/788

 

http://webres.medlive.cn/upload/000/013/789

 

http://webres.medlive.cn/upload/000/013/794

 

http://webres.medlive.cn/upload/000/013/795

 

http://webres.medlive.cn/upload/000/013/796

 

http://webres.medlive.cn/upload/000/013/797

 

http://webres.medlive.cn/upload/000/013/787

 

http://webres.medlive.cn/upload/000/013/798

 

http://webres.medlive.cn/upload/000/013/799

 

http://webres.medlive.cn/upload/000/013/800

 

http://webres.medlive.cn/upload/000/013/801

 

 

回复话题