【已结束】有奖病例挑战第1期--【病例:右上腹部疼痛伴畏寒发热3天】

张小祥

关注站内信

1 楼

 

 

满腹医学经纶无处发挥?来,参加病例挑战大赛,展现你的临床功底,顺手赢一份丰厚的礼品。

本期奖励:

1.优胜奖

礼品:书籍《直接抗病毒时代的丙型肝炎》1本;

数量:10名;

评选标准:诊断正确,且分析详尽到位的10名参与者;

http://webres.medlive.cn/upload/000/295/115

 

2.参与奖

礼品:5麦粒;

数量:前100名回复用户;

多次回复者,以最后一次回帖为准。

结束时间:2016-8-12 24:00

-----------------------------------------

本期挑战病例:

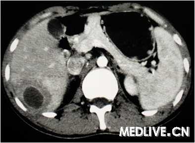
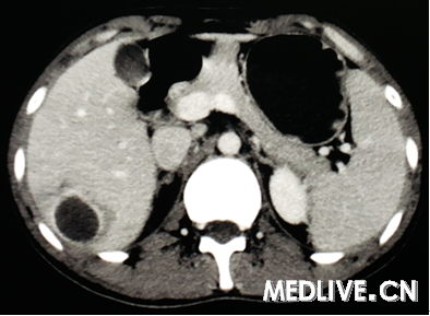
男,26岁,右上腹部疼痛伴畏寒发热3天。

图1为CT增强动脉期,

图2为CT增强门脉期,

图3为CT增强静脉期,

图4为CT增强扫描延迟期。

请根据影像学资料,给出你的诊断及分析。

http://webres.medlive.cn/upload/000/295/111

http://webres.medlive.cn/upload/000/295/112

http://webres.medlive.cn/upload/000/295/113

http://webres.medlive.cn/upload/000/295/114

期待你的帅气分析哦~

 

 

3
2016-08-01 14:34 回复

crj111

关注站内信

3 楼

右上腹痛伴畏寒发热提示有感染存在,CT为囊性病变,动脉期囊腔周围有水肿,静脉期囊腔边缘增强,囊内无增强排除血管瘤;囊内无子囊,无分隔可排除肝包虫感染。最终诊断为肝脓肿。

wangsongjie007

关注站内信

4 楼
肝脓肿

2240838

关注站内信

5 楼

如果为肝脓肿,在临床上不仅仅是畏寒、发热,而应该是寒战、高热更准确。还应有血象的异常增高。同意肝脓肿的诊断。

ewsd

关注站内信

7 楼
诊断:肝脓肿。 依据:发热,畏寒考虑感染性疾病,患者右上腹疼,上腹部CT肝右叶可见空腔,周围水肿带,增强可见强化,符合肝脓肿影像。 鉴别:肝囊肿并感染,肝结核。

chjqyc

关注站内信

8 楼

考虑诊断为肝脓肿

zhangtor

关注站内信

9 楼

年轻男性,急性畏寒发热,伴右上腹痛,CT表现符合肝脓肿。注意年轻人注意阿米巴性肝脓肿

zhaohe7051

关注站内信

10 楼

上腹痛伴畏寒发热提示有感染存在,排除肝囊肿;CT示球形囊性病变,动脉期囊腔周围有水肿,静脉期囊腔边缘增强,囊内无增强排除血管瘤;囊内无子囊,无分隔可排除肝包虫感染。诊断考虑肝脓肿。

youxia11

关注站内信

11 楼
年轻男性,急性畏寒发热,伴右上腹痛,CT表现符合肝脓肿。

快乐兔子

关注站内信

13 楼

患者年轻男性,右上腹疼痛伴畏寒发热3天;CT片显示边界清楚低密度灶。符合肝脓肿诊断。肝囊肿及肝血管瘤多无畏寒发热症状。

方十二夜

关注站内信

14 楼

患者,青年男性,现有资料未显示其他疾病史。

目前右上腹部疼痛伴畏寒发热3天。

CT可见肝内囊性病变,边界清,囊内呈液性暗区(无增强),无分隔,囊腔周围有水肿,综合上述CT表现诊断为肝脓肿。

 

jiangdzh3388

关注站内信

15 楼

据症状及CT显示考虑肝脓肿可能性大

回复话题
共 10 页 138 条