【经验】下消化道疾病的内镜诊断

tianyi111

关注站内信

1 楼

    梅克尔憩室

梅克尔憩室(Meckels diverticulum)是在胚胎发育过程中卵黄管退化不全所形成的回肠远端憩室。临床上多无症状往往因憩室出现并发症表现才就诊而获诊断。

Meckel憩室是真性憩室,发生率为2 ~ 3%,位于小肠的对系膜侧,一般位于距回盲瓣100 cm以内,约半数具有异位胃粘膜,可发生溃疡、出血。

http://webres.medlive.cn/upload/000/104/140

2012-11-06 15:03 回复

tianyi111

关注站内信

2 楼

克罗恩病

克罗恩病是一种消化道的慢性、反复发作和非特异性的透壁性炎症, 病变呈节段性分布, 可累及消化道任何部位,其中以末端回肠最为常见,结肠和肛门病变也较多。

克罗恩病可累及全消化道,根据所累及的范围,可分为小肠型(30% ~ 40%)、小肠及结肠型(40% ~ 55%)、结肠型(15% ~ 25%)。累及小肠者,回盲部受侵犯的达90%以上。

按照临床表现的特点,又可分为梗阻型和成瘘型。内镜下可见跳跃性病变、裂隙样溃疡、狭窄等。内镜下粘膜活检往往不能得到充分的病理诊断依据,但有时可发现肉芽肿等病变。

http://webres.medlive.cn/upload/000/104/143

结肠克罗恩病

克罗恩病中,局限于结肠的约占1/4。一般地,结肠克罗恩病不累及直肠,病变之间粘膜正常(跳跃性病变)、溃疡呈裂隙样、粘膜可呈铺路石样。

10 ~ 15%的病例在诊断为克罗恩病后的一年内被重新诊断为溃疡性结肠炎。对于不能确定诊断的局限于结肠的炎性肠病可考虑未定型结肠炎(indeterminate colitis)的诊断,但该诊断不宜滥用。

http://webres.medlive.cn/upload/000/104/152

 

 

tianyi111

关注站内信

3 楼

Peutz-Jeghers综合征

Peutz-Jeghers综合征(Peutz-Jeghers’s syndrome,下简称为PJS)又称家族性黏膜皮肤色素沉着胃肠道息肉病,简称黑斑息肉综合征。

本征有3大特征:①黏膜、皮肤特定部位色素斑;②胃肠道多发性息肉;③遗传性。以往认为本病罕见,近年来临床报道病例较多。本病可发生于任何年龄,多见于儿童和青少年,男女发病率大致相同。

Peutz-Jeghers综合征是少见的常染色体显性遗传性疾病,STK11是PJS的易感基因。

PJS主要表现为胃肠道多发性息肉,可见于从胃到直肠的任何部位,尤其好发于小肠,同时有皮肤、粘膜色素沉着,体检时可见到特征性的皮肤或粘膜黑斑,常分布于唇部、口腔粘膜、手指或脚趾、手掌或足底。

内镜下可见散在、多发息肉,常较大并分叶,多有蒂。病理为错构瘤性息肉,其中有平滑肌成分从粘膜肌层如树枝状分枝长入息肉内。

发生胃肠道及卵巢、乳腺、胰腺等部位恶性肿瘤的危险增大,除进行内镜随诊外,尚需注意相应的其他检查。

http://webres.medlive.cn/upload/000/104/144

 

 

tianyi111

关注站内信

4 楼

胃肠道间质瘤

胃肠道间质瘤(Gastrointestinal Stromal Tumors, GIST)是一类起源于胃肠道间叶组织的肿瘤,占消化道间叶肿瘤的大部分。

胃肠道间质瘤占胃肠道恶性肿瘤的1~3%,估计年发病率约为10-20/100万,多发于中老年患者,40岁以下患者少见,男女发病率无明显差异。GIST大部分发生于胃(50~70%)和小肠(20~30%),结直肠约占10~20%,食道占0~6%,肠系膜、网膜及腹腔后罕见。

对于胃GIST,胃镜可帮助明确肿瘤部位及大小。超声内镜对于胃外生性肿瘤可协助诊断,协诊GIST位置、大小、起源、局部浸润状况、转移等。部分患者可获得病理学诊断。

http://webres.medlive.cn/upload/000/104/150

 

tianyi111

关注站内信

5 楼

溃疡性结肠炎

溃疡性结肠炎与克罗恩病都属于炎症性肠病(IBD),这两种疾病都是以反复发生的肠道溃疡为特征,患者常表现为腹泻、粘液血便及腹痛,并且症状很相似,所以有些时候,即使是医生也很难明确作出诊断。

两者不同的是,克罗恩病可能影响到消化道的各个部分(如食管、胃、小肠、结肠),而溃疡性结肠炎的影响常局限于大肠。

http://webres.medlive.cn/upload/000/104/154

tianyi111

关注站内信

6 楼

胃肠道结核

胃肠道结核一般是结核病多系统累及的一部分,在没有有效的抗结核治疗的年代,70%的进展期肺结核患者伴有胃肠道结核。目前,胃肠道结核只占结核病的1%。

内镜下,多累及回盲部,可见充血、水肿、溃疡、肿物等表现,需与克罗恩病和结肠癌相鉴别,确诊依赖活检病理发现抗酸杆菌。

http://webres.medlive.cn/upload/000/104/155

tianyi111

关注站内信

7 楼

息肉

息肉(polyp)一词可泛指粘膜表面的隆起,包括粘膜息肉和粘膜下(息肉样隆起)病变。

粘膜息肉又可分为肿瘤性息肉(包括腺瘤或癌)和非肿瘤性息肉。一般地,息肉是指粘膜息肉,其中不包括肉眼即可诊断为恶性肿瘤的肿瘤性息肉。

结肠息肉的内镜下形态 

http://webres.medlive.cn/upload/000/104/156

腺瘤性息肉

腺瘤性息肉可分为管状腺瘤、绒毛状腺瘤、管状绒毛状腺瘤和锯齿状腺瘤。

管状腺瘤多颜色较深,表面光滑。绒毛状腺瘤约占腺瘤的5%,常见于老年人,多比较大、无蒂,表面粗糙、呈菜花样或分叶状,通常质地较脆。

管状绒毛状腺瘤含有管状腺瘤和至少25%的绒毛状腺瘤,其临床表现介于两者之间。

锯齿状腺瘤仅占大肠息肉的不足1%,发生高度不典型增生的比率却高达40%,其结构类似增生性息肉,但混有腺瘤或腺体增生的表现。 

http://webres.medlive.cn/upload/000/104/157

 非肿瘤息肉

非肿瘤息肉包括增生性息肉、炎性息肉和错构瘤性息肉等。

增生性息肉的发生率仅次于腺瘤性息肉,多小于5 mm、无蒂,颜色较淡,多位于直肠和乙状结肠。增生性息肉不是癌前病变。

炎性息肉见于溃疡性结肠炎、克罗恩病、缺血性结肠炎、血吸虫病等结肠粘膜的重度炎性疾病。

如果息肉由残存的岛样结肠上皮构成,则常被称为假息肉(pseudopolyps)。错构瘤性息肉包括Peutz-Jeghers息肉和幼年性息肉等。

http://webres.medlive.cn/upload/000/104/162

 结肠息肉的放大色素内镜诊断

http://webres.medlive.cn/upload/000/104/163

 

tianyi111

关注站内信

8 楼

家族性腺瘤性息肉病

FAP为常染色体显性遗传疾病,患者染色体5q21-q22上的APC基因发生了突变。临床上,结肠内如有超过100枚腺瘤性息肉,或者数量较少的息肉、但具有FAP的家族史,即可诊为本症。

内镜下,可见息肉分布于全结肠,有的密集如地毯样,有的呈散在分布。90%以上的息肉直径小于5 mm,大于10 mm者不到1%。病理多呈管状腺瘤。往往伴有胃、十二指肠和系膜小肠息肉,并有骨瘤等肠外表现。诊断明确后应注意监测病情的发展,争取适时进行外科手术治疗。

http://webres.medlive.cn/upload/000/104/321

 

tianyi111

关注站内信

9 楼

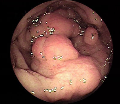
幼年性息肉

由于这种息肉的腺管呈囊性扩张,充满粘液,故亦称潴留性息肉,也是一种错构瘤性息肉,但与Peutz-Jeghers综合征不同,它没有粘膜肌层的树枝状增生。其发病在4岁及18 ~ 22岁呈现两个高峰。儿童的消化道息肉中,90%以上为幼年性息肉。

内镜下,幼年性息肉呈紫红色的球形息肉,不分叶,表面常有糜烂或附着白苔,多有蒂。幼年性息肉可自行脱落,内镜下切除后一般不会复发。

http://webres.medlive.cn/upload/000/104/322

 

 

3

laom

关注站内信

10 楼

好极!

nwl863

关注站内信

11 楼

楼主提供的内镜图片很典型,谢谢分享!

huxiangsanren

关注站内信

12 楼

辛苦了,学习了,谢谢

小樊

关注站内信

13 楼

太棒了,如获至宝

帅帅哥

关注站内信

14 楼

有特点,值得学习。

陈昊

关注站内信

15 楼

学习了,谢谢

回复话题
共 3 页 34 条