超火!不得不看的微博图片病例!

绿萝爱歌唱

关注站内信

1 楼

最近在微博上看到一些看图病例,分享给大家!!

持续更新中....一起来学习!

 

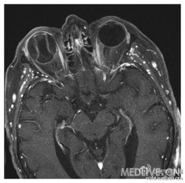
1.根据磁共振检查,其可能的诊断是什么?

 

A.Graves'眼病

B.视网膜剥离

C.脉络膜黑色素瘤

D.眼内移植物

E.闭角型青光眼 

 

http://webres.medlive.cn/upload/000/081/640

答案:视网膜剥离。磁共振成像显示右眼可见视网膜剥离,对称隆起异常。

2
2012-05-02 17:45 回复

绿萝爱歌唱

关注站内信

2 楼

 

2.根据该图片,其诊断可能是什么?

A.霰粒肿

B.乳头状瘤

C.翼状胬肉

D.睑裂斑

E.眼部缺损 

 

http://webres.medlive.cn/upload/000/081/646

答案:乳头状瘤。这例9岁男孩被诊断为结膜病毒性乳头状瘤。

绿萝爱歌唱

关注站内信

3 楼

3.这例5个月女婴的眼底图像提示的诊断是什么?

A.渗出性视网膜炎

B.原发性婴儿青光眼

C.早产儿视网膜病

D.视网膜母细胞瘤

E.婴儿震荡综合征 

http://webres.medlive.cn/upload/000/081/648

答案:婴儿震荡综合征。眼底图像表明在眼后极,视乳头盘正常,有多发的视网膜内和视网膜前出血。这一临床征象被认为是婴儿震荡综合征的特异性病征,呈现视乳头周围的视网膜隆起线。

 

绿萝爱歌唱

关注站内信

4 楼

继续收集中....

4.【根据眼底检查,下列哪种类型的视力障碍,将会在该病人的检查中出现?】

A.下视野缺损

B.颞侧偏盲

C.单眼盲

D.黄斑回避偏盲

E.周围环状暗点

http://webres.medlive.cn/upload/000/081/700

 

答案:下视野缺损。

对该患者左眼的散瞳眼底检查显示,在邻近视网膜上动脉处有一非折射的斑,伴黄斑上部视网膜变白,表明视网膜缺血。视网膜上部缺血将导致下视野缺损,正如这例患者。该患者被诊断为单侧视网膜动脉闭塞。

绿萝爱歌唱

关注站内信

5 楼

5.根据眼底检查,其可能的诊断是什么?

A.视网膜中央静脉闭塞

B.胆固醇栓塞

C.视网膜剥离

D.颞动脉炎

E.弓形体病 

http://webres.medlive.cn/upload/000/081/708

 

答案:胆固醇栓塞。

该图像为胆固醇栓塞,周围伴有视网膜水肿的白色透光区。荧光素血管造影证实为睫状视网膜动脉闭塞,以及在低荧光区域组织无灌注。胆固醇栓子是在动脉血流中形成或为动脉粥样硬化斑块破裂释放,其为血管疾病的最初征象。

绿萝爱歌唱

关注站内信

6 楼

6.【根据眼底检查发现,其诊断可能是什么?】

A.高甘油三酯血症

B.高血压性视网膜病变

C.视神经萎缩

D.视网膜中央动脉闭塞

E.巨细胞病毒性视网膜炎

http://webres.medlive.cn/upload/000/081/710

 

答案:高甘油三酯血症。该眼底乳白色的血管是由于极高的高甘油三酯血症所致。

1

绿萝爱歌唱

关注站内信

7 楼

7.根据眼底检查,其可能的诊断是什么?

A.血管样纹

B.青光眼

C.黄斑变性

D.眼蝇蛆病

E.弹性假黄瘤

http://webres.medlive.cn/upload/000/081/720

答案:眼蝇蛆病。

这例49岁男性左眼视力下降2天就诊。他说“像似通过树叉来看见东西”,眼底检查显示视网膜有线性和弓形斑纹,符合眼蝇蛆病。行视网膜激光光凝前看见过苍蝇幼虫出现在黄斑区,后迁移走了。经4天噻苯咪唑治疗,眼底检查发现玻璃体一幼虫。接受了玻璃体切除术。8周后视力提高。

http://webres.medlive.cn/upload/000/081/722

绿萝爱歌唱

关注站内信

8 楼

8.根据眼底检查,提示什么诊断?

 A.高血压性视网膜病

B.巨细胞病毒视网膜炎

C.罗特斑

D.视网膜中央静脉闭塞

E.视乳头水肿

http://webres.medlive.cn/upload/000/081/723

 

答案:视乳头水肿。

这例53岁男性患者头痛、视力模糊和耳鸣就诊。腰椎穿刺表明为脑膜炎伴颅内压增高。眼科检查发现双眼视力下降,眼底检查有视乳头水肿。经治疗后,眼底检查和视力恢复到正常。

1

朱伊依

关注站内信

9 楼

图片好东东啊,谢谢分享!

练晶军

关注站内信

10 楼

很棒的图片病例!

四眼小妹

关注站内信

11 楼

非常好的学习材料!!谢啦!

宏羽

关注站内信

12 楼

图片很受看,谢谢分享

1

戈戈

关注站内信

13 楼

“婴儿震荡综合征”,给力的图片!

小狐狸123

关注站内信

14 楼

很棒!

 

 

2012-05-13 23:00 回复

老山大兵

关注站内信

回复话题
共 3 页 38 条