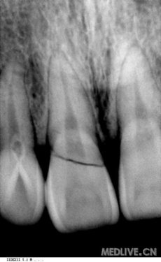
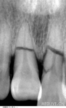
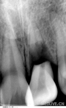
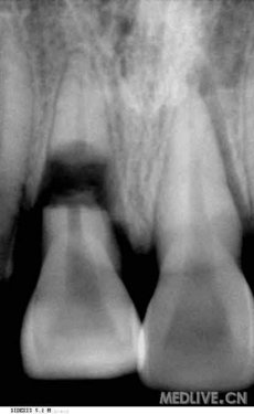
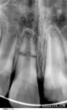
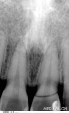
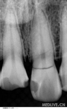
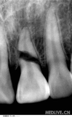
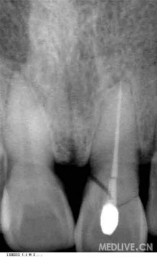
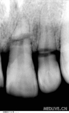
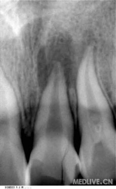
各类型牙折的X光片

下里巴人

关注站内信

1 楼

http://webres.medlive.cn/upload/000/012/894

 

http://webres.medlive.cn/upload/000/012/893

 

http://webres.medlive.cn/upload/000/012/895

 

http://webres.medlive.cn/upload/000/012/896

 

http://webres.medlive.cn/upload/000/012/897

 

http://webres.medlive.cn/upload/000/012/898

 

 

1
2011-05-03 18:34 回复

下里巴人

关注站内信

2 楼

http://webres.medlive.cn/upload/000/012/899

 

http://webres.medlive.cn/upload/000/012/900

 

http://webres.medlive.cn/upload/000/012/901

 

http://webres.medlive.cn/upload/000/012/902

 

http://webres.medlive.cn/upload/000/012/903

 

http://webres.medlive.cn/upload/000/012/904

 

 

1

下里巴人

关注站内信

3 楼

http://webres.medlive.cn/upload/000/012/906

 

http://webres.medlive.cn/upload/000/012/905

 

http://webres.medlive.cn/upload/000/012/907

 

http://webres.medlive.cn/upload/000/012/908

 

来自:http://www.iiyi.com/bbs/thread-1004340-2.html

2

jinshibaby

关注站内信

wenasted

关注站内信

5 楼

这些算是最典型的了

智慧天天

关注站内信

vveryy

关注站内信

11 楼

回复话题