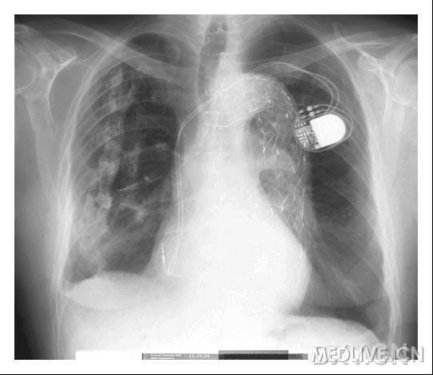
一张胸片上集中了近50年来医学的4项重大进展,您那你能指出来吗?

医通

关注站内信

1 楼

这是摘于以前一期的新英格兰杂志,您能指出该胸片集中了近50年来的哪4项重大进展呢?

http://webres.medlive.cn/upload/000/016/580



花絮:

杂志写道,这个问题共收到来自68个国家的729份回答,其中25%的答案完全正确,40%的答对其中的3个。


64%答对正中胸骨切开行冠状动脉搭桥,77%的答对 降主动脉支架植入,93%答对心脏起搏器植入。最后一个就只有39%的人答对最后一个····

大家来猜猜看,一周之后我公布答案。

2011-05-17 17:27 回复

Mary

关注站内信

2 楼

钩钩了一下,得出了以下结果:

64%答对正中胸骨切开行冠状动脉搭桥

77%的答对 降主动脉支架植入

93%答对心脏起搏器植入

只有39%的人答对肺叶萎陷疗法治疗结核

医通

关注站内信

3 楼

你没有意思啊

Mary

关注站内信

4 楼

回复 3楼:

好奇心作怪alt

2011-05-17 17:43 回复

蓝天和白云

关注站内信

5 楼

答案都出来啦alt

皓月肠空

关注站内信

cow2016

关注站内信

9 楼

哈哈,我只看出两个!

gushequn

关注站内信

10 楼

几几

关注站内信

shibing

关注站内信

12 楼

答案都出来

沟通办

关注站内信

14 楼

胸膜腔内注射化疗

沟通办

关注站内信

15 楼

回复 1楼:

回复话题
共 2 页 18 条