看着这些眼科疾病图片,实在精彩!
忍不住要分享给大家,虽然是老外的眼睛,和咱们的不太一样,但是疾病无国界啊,大家一起来学习学习吧,顺便还提高下英语!
角膜疾病图片
Alkaly burn(角膜碱烧伤)
Arcus juvenilis(青年弓)
Band keratopathy(带状角膜病变)
Bullous keratopathy(大泡性角膜病变)
Cogan’s distrophy(Cogan’s 角膜营养不良)
Corneal abrasion(角膜擦伤)
Corneal abrasion(角膜擦伤)
Corneal guttae(角膜滴状物)
Corneal leucoma(角膜白斑)
Corneal pannus(角膜血管翳)
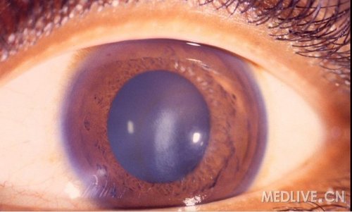
Endothelial precipitates(内皮细胞沉淀)
Fleischer’s ring in keratoconus (圆锥角膜的Fleischer’s 环)
Fleischer’s ring(Fleischer’s 环)
Gerontoxon(老年环)
Graft rejection and infection(移植排斥反应和感染)
Granular distrophy
Keratitis (Adenovirus)
Keratitis (Aspergillus)
Keratitis after keratoplasty (herpes simplex)
Keratitis- herpes simplex dendritic
Keratoconus-apex syndrome
Keratoconus-apex syndrome
Keratoconus-vogt's striae
Keratoplasty
Latex distrophy
Marginal degeneration (Terrien)
Meesmans’ distrophy
Mooren’s ulcer
Salzmann’s distrophy
Vortex keratopathy